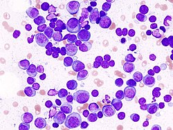
Multiple myeloma is a cancer that forms in a type of white blood cell called a plasma cell. Healthy plasma cells help fight infections by making proteins called antibodies. Antibodies find and attack germs.In multiple myeloma, cancerous plasma cells build up in bone marrow. The bone marrow is the soft matter inside bones where blood cells are made. In the bone marrow, the cancer cells crowd out healthy blood cells. Rather than make helpful antibodies, the cancer cells make proteins that don't work right. This leads to complications of multiple myeloma.Multiple myeloma treatment isn't always needed right away. If the multiple myeloma is slow growing and isn't causing symptoms, close watching might be the first step. For people with multiple myeloma who need treatment, there are a number of ways to help control the disease.
Factors that may increase the risk of multiple myeloma include
Early in multiple myeloma, there might be no symptoms. When signs and symptoms happen, they can include: