Myelodysplastic syndromes
Myelodysplastic syndromes are a group of disorders caused by blood cells that are poorly formed or don't work properly. Myelodysplastic syndromes result from something amiss in the spongy material inside your bones where blood cells are made (bone marrow).Management of myelodysplastic syndromes is most often intended to slow the disease, ease symptoms and prevent complications. Common measures include blood transfusions and medications to boost blood cell production. In certain situations, a bone marrow transplant, also known as a stem cell transplant, may be recommended to replace your bone marrow with healthy bone marrow from a donor.
Types of myelodysplastic syndromes
The World Health Organization divides myelodysplastic syndromes into subtypes based on the type of blood cells — red cells, white cells and platelets — involved. common types include:
- Myelodysplastic syndromes with single-lineage dysplasia. One blood cell type — white blood cells, red blood cells or platelets — is low in number and appears abnormal under the microscope.
- Myelodysplastic syndromes with multilineage dysplasia.: In this subtype, two or three blood cell types are abnormal.
- Myelodysplastic syndromes with isolated del(5q) chromosome abnormality. People with this subtype have low numbers of red blood cells, and the cells have a specific mutation in their DNA..
- Myelodysplastic syndromes with excess blasts. In this subtype, any of the three types of blood cells — red blood cells, white blood cells or platelets — might be low and appear abnormal under a microscope. Very immature blood cells (blasts) are found in the blood and bone marrow..
Risk Factors
Factors that can increase your risk of myelodysplastic syndromes include:
- Older Age: Most people with myelodysplastic syndromes are older than 60..
- A Previous treatment with chemotherapy or radiation: Chemotherapy or radiation therapy, both of which are commonly used to treat cancer, can increase your risk of myelodysplastic syndromes.ditions of the colon, such as ulcerative colitis and Crohn's disease.
- Exposure to certain chemicals:Chemicals, including benzene, have been linked to myelodysplastic syndromes.
Symptoms
In time, myelodysplastic syndromes might cause:
- A Unusual paleness (pallor), which occurs due to a low red blood cell count (anemia).
- Easy or unusual bruising or bleeding, which occurs due to a low blood platelet count (thrombocytopenia)
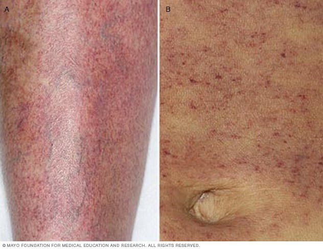
- Pinpoint-sized red spots just beneath the skin that are caused by bleeding (petechiae).
- Frequent infections, which occur due to a low white blood cell count (leukopenia)
- Shortness of breath.
- Fatigue or weakness.